Skip to content
Home
About Us
Orthodontic Services
Gallery
Testimonials
Contact
X
appointment
Gallery
Home
Gallery
patient gallery
patient gallery
patient gallery
patient gallery
patient gallery
Meet Our Dentist
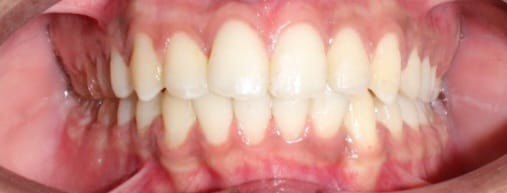
After
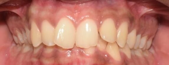
Before
Appointment
Patient Name
*
Patient Photo
Featured Image
Appointment Date
*
Appointment Time
*