Orthodontic Services

Metal, Ceramic, and Clear Braces

Traditional braces use brackets and wires to apply controlled pressure that gradually moves teeth into proper alignment. Metal braces are highly effective for complex cases, while ceramic and clear braces offer a more discreet appearance. These options are ideal for correcting crowding, spacing, and bite issues.

Self-Ligating Braces

Self-ligating braces use advanced brackets that hold the wire without elastic ties. This reduces friction, allows smoother tooth movement, and often shortens treatment time. Patients may also experience fewer appointments and improved comfort during treatment.

Aligners

Clear aligners are removable, transparent trays that gently move teeth into position. They are comfortable, easy to maintain, and nearly invisible, making them a popular choice for mild to moderate alignment concerns. Aligners allow patients to eat and clean their teeth with ease.

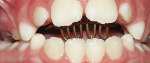
Myofunctional / Fixed Functional Therapy

These appliances help correct jaw growth and bite discrepancies by guiding proper jaw positioning. Commonly used in growing patients, they are effective for treating overbites and underbites. Early intervention can reduce the need for more complex treatments later.

Orthopedic Appliances

Orthopedic appliances focus on guiding jaw development rather than just moving teeth. They are often used in children and adolescents to correct skeletal imbalances. Proper jaw alignment improves both function and facial harmony.

TAD-Supported Treatment

Temporary Anchorage Devices (TADs) provide additional support for precise tooth movement. They help orthodontists achieve results that may not be possible with braces alone. TADs are especially useful in complex or challenging orthodontic cases.

TMD Management

TMD management focuses on relieving jaw joint discomfort and improving jaw function. Orthodontic treatment can help correct bite problems that contribute to jaw pain, headaches, or clicking sounds. Proper alignment supports long-term joint health.

Surgical Orthodontics

Surgical orthodontics is recommended for severe jaw misalignments that cannot be corrected with braces alone. This treatment combines orthodontics and jaw surgery to improve function, balance, and facial aesthetics. It is typically planned after growth is complete.

Habit-Breaking Appliances

These appliances help eliminate habits such as thumb sucking or tongue thrusting that can affect tooth alignment. By stopping these habits early, normal dental and jaw development can continue. They are especially beneficial for children.

Retainers

Retainers are essential after active orthodontic treatment to maintain the new position of teeth. They prevent teeth from shifting back and help preserve your smile long-term. Consistent wear ensures lasting results.
Chat Icon

Appointment

  •